Vô Tinh Do Tắc Ống Dẫn Tinh Sau Chấn Thương
Trung tâm Sức khoẻ Nam Giới Men's Health
Vô tinh (azoospermia) là nỗi lo lớn của nhiều cặp vợ chồng mong con, bởi đây là một trong những nguyên nhân thường gặp nhất của vô sinh nam. Dù nguyên nhân có thể bắt nguồn từ rối loạn sản xuất tinh trùng, bất thường di truyền hay bệnh lý viêm nhiễm, một nhóm đáng kể rơi vào tình huống “có tinh trùng nhưng không ra được ngoài” – đó là vô tinh do tắc ống dẫn tinh. Đặc biệt, những trường hợp tắc nghẽn sau chấn thương ngày càng được ghi nhận nhiều hơn khi tai nạn giao thông, thể thao và phẫu thuật vùng bẹn – bìu ngày một phổ biến. Đây là tình trạng khó nhận biết, thường chỉ được phát hiện khi người đàn ông đi khám hiếm muộn, và cũng là nguyên nhân gây không ít bế tắc về tâm lý lẫn đời sống gia đình.

1. Khái niệm và cơ chế bệnh sinh
Vô tinh được định nghĩa là tình trạng không có tinh trùng trong tinh dịch sau ít nhất hai lần xét nghiệm tinh dịch đồ (semen analysis) bằng ly tâm và soi dưới kính hiển vi. Vô tinh được chia làm hai loại:
- Vô tinh không do tắc nghẽn (non-obstructive azoospermia – NOA): do tinh hoàn (testis) không sản xuất được tinh trùng hoặc sản xuất rất ít.
- Vô tinh do tắc nghẽn (obstructive azoospermia – OA): tinh hoàn vẫn sản xuất bình thường nhưng tinh trùng bị chặn lại trên đường di chuyển qua mào tinh (epididymis), ống dẫn tinh (vas deferens), túi tinh (seminal vesicle) hay niệu đạo (urethra).
Trong nhóm OA, chấn thương có thể gây tắc bằng nhiều cơ chế. Nếu lực tác động trực tiếp vào bìu hoặc vùng bẹn, ống dẫn tinh có thể bị đứt rời hoặc dập nát, để lại sẹo xơ gây bít tắc. Một số trường hợp sau phẫu thuật thoát vị bẹn hoặc chấn thương tiểu khung, ống dẫn tinh bị kẹt trong mô sẹo hoặc chèn ép từ khối máu tụ.
Theo nghiên cứu của Jarow và Espeland (1993) công bố trên Fertility and Sterility, trong 180 bệnh nhân vô tinh do tắc, có 16 trường hợp (chiếm 9%) được xác định nguyên nhân liên quan trực tiếp đến chấn thương vùng bẹn – bìu hoặc phẫu thuật, cho thấy tỷ lệ này không hề nhỏ trong thực hành lâm sàng.
2. Đặc điểm dịch tễ và yếu tố nguy cơ
Vô tinh do tắc sau chấn thương thường gặp ở nhóm nam giới trẻ, độ tuổi từ 20 đến 40 – giai đoạn hoạt động thể chất mạnh và dễ gặp tai nạn. Những yếu tố nguy cơ đáng lưu ý gồm:
- Tai nạn giao thông: đặc biệt là chấn thương xe máy, thường gây tổn thương trực tiếp bìu.
- Tai nạn thể thao: đá bóng, võ thuật, đạp xe cường độ cao có thể gây dập ép tinh hoàn và ống dẫn tinh.

- Phẫu thuật vùng bẹn – bìu: mổ thoát vị bẹn, hạ tinh hoàn (orchidopexy), hoặc cắt ống dẫn tinh (vasectomy) có thể làm tổn thương cấu trúc dẫn tinh.
Một khảo sát tại Hoa Kỳ do Kolettis (2002) công bố trên Fertility and Sterility cho thấy, trong 82 bệnh nhân OA sau chấn thương hoặc phẫu thuật, có tới 61% liên quan đến mổ thoát vị bẹn, 23% do tai nạn thể thao và 16% do tai nạn giao thông.
3. Biểu hiện lâm sàng
Điểm khó khăn là vô tinh sau chấn thương thường không có biểu hiện rõ rệt ngay sau sự kiện. Đa số bệnh nhân vẫn có ham muốn tình dục, cương dương và xuất tinh bình thường. Chỉ đến khi lấy vợ nhiều năm không có con, đi khám hiếm muộn mới phát hiện tình trạng không có tinh trùng.
Một số dấu hiệu gợi ý có thể gồm:
- Tinh dịch ít, loãng, nhưng không đặc hiệu.
- Mào tinh to, căng hoặc đau nhẹ do ứ trệ tinh trùng.
- Có tiền sử chấn thương bìu hoặc phẫu thuật bẹn.
Theo nghiên cứu của Chan và Schlegel (2000) trên Human Reproduction Update, trong 57 bệnh nhân OA, 82% có mào tinh giãn trên siêu âm bìu – dấu hiệu gián tiếp của tắc nghẽn.
4. Phương pháp chẩn đoán
Chẩn đoán OA sau chấn thương đòi hỏi sự kết hợp nhiều công cụ:
- Tinh dịch đồ: không có tinh trùng trong ít nhất hai lần xét nghiệm.
- Xét nghiệm nội tiết: FSH (follicle-stimulating hormone) và LH (luteinizing hormone) bình thường, testosterone ở ngưỡng sinh lý, giúp loại trừ NOA.
- Siêu âm bìu và mào tinh: đánh giá tình trạng giãn mào tinh, giãn ống dẫn tinh.
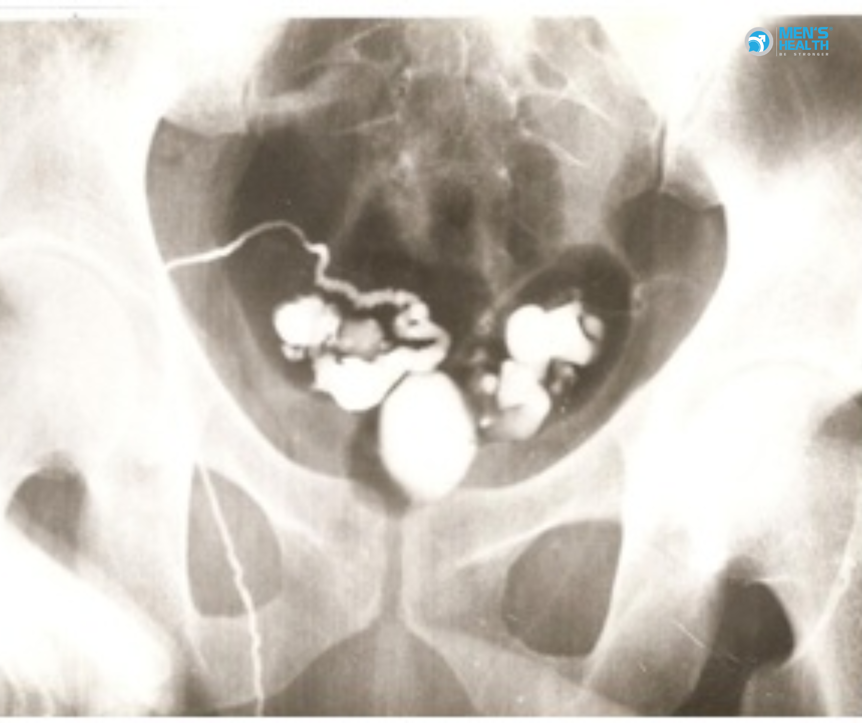
- Chụp ống dẫn tinh (vasography): xác định vị trí và mức độ tắc.

- Chọc hút tinh trùng mào tinh (MESA – Microsurgical Epididymal Sperm Aspiration): nếu có tinh trùng trong mào tinh, chứng tỏ tinh hoàn vẫn sản xuất bình thường.
Silber (1989) báo cáo trên Journal of Urology rằng, trong nhóm 74 bệnh nhân OA sau phẫu thuật vùng bẹn, vasography cho phép xác định chính xác vị trí tắc ở 68 trường hợp (92%).
5. Điều trị
Điều trị OA sau chấn thương có hai hướng chính:
- Phẫu thuật vi phẫu tái tạo:
- Nối ống dẫn tinh – ống dẫn tinh (vasovasostomy): chỉ định khi tắc đoạn xa.
- Nối ống dẫn tinh – mào tinh (vasoepididymostomy): chỉ định khi tắc gần mào tinh.
- Hỗ trợ sinh sản: nếu phẫu thuật thất bại hoặc bệnh nhân lớn tuổi, có thể lấy tinh trùng từ mào tinh hoặc tinh hoàn (MESA, TESE – testicular sperm extraction) để làm thụ tinh trong ống nghiệm (IVF/ICSI – intracytoplasmic sperm injection).
Theo nghiên cứu của Belker và cộng sự (1991) công bố trên Journal of Urology, trong 1.469 ca phẫu thuật nối ống dẫn tinh, tỷ lệ có tinh trùng trở lại đạt 86%, và tỷ lệ có thai tự nhiên là 52% trong vòng 2 năm.
6. Tiên lượng và yếu tố ảnh hưởng kết quả
OA sau chấn thương có tiên lượng tốt hơn NOA vì tinh hoàn vẫn sản xuất tinh trùng bình thường. Tuy nhiên, kết quả phụ thuộc nhiều yếu tố:
- Thời gian từ chấn thương đến phẫu thuật: càng ngắn càng tốt, nếu kéo dài nhiều năm, mô sẹo xơ hóa nặng làm giảm khả năng tái thông.
- Vị trí tắc: tắc đoạn xa dễ xử trí hơn tắc gần mào tinh.
- Kinh nghiệm phẫu thuật viên vi phẫu.
Theo Kolettis (2002) trên Fertility and Sterility, tỷ lệ có tinh trùng trở lại sau phẫu thuật đạt 78% nếu phẫu thuật trong vòng 5 năm sau chấn thương, nhưng giảm xuống còn 46% nếu sau 10 năm.
7. Gánh nặng tâm lý – xã hội
Bên cạnh khía cạnh y học, vô tinh sau chấn thương còn để lại hậu quả tâm lý nặng nề. Nhiều bệnh nhân trẻ tuổi bị tai nạn, sau đó mang trong mình nỗi lo “mất khả năng làm cha”, dẫn đến căng thẳng, trầm cảm, thậm chí ảnh hưởng đến hôn nhân.
Watts và cộng sự (2014) công bố trên Psycho-Oncology cho thấy, trong nhóm nam giới hiếm muộn, có tới 47% báo cáo triệu chứng lo âu mức trung bình đến nặng, và nhóm vô tinh do tắc có tỷ lệ stress cao hơn so với nhóm giảm chất lượng tinh trùng. Điều này nhấn mạnh vai trò của tư vấn tâm lý song song với điều trị y khoa.
Kết luận
Vô tinh do tắc ống dẫn tinh sau chấn thương là nguyên nhân quan trọng của vô sinh nam, thường bị bỏ sót do biểu hiện kín đáo. Điểm mấu chốt trong chẩn đoán là phân biệt với vô tinh không do tắc nghẽn thông qua tinh dịch đồ, xét nghiệm nội tiết và siêu âm. Việc điều trị bằng vi phẫu nối ống dẫn tinh hoặc nối ống dẫn tinh – mào tinh mang lại tỷ lệ thành công cao, trong khi các kỹ thuật hỗ trợ sinh sản là giải pháp bổ sung khi phẫu thuật không khả thi. Dưới góc nhìn y học khách quan, đây là dạng vô tinh có tiên lượng tốt, miễn là được phát hiện sớm và điều trị đúng cách. Việc nâng cao nhận thức cộng đồng, khuyến khích nam giới từng có chấn thương vùng bìu – bẹn đi khám sớm sẽ giúp tăng cơ hội làm cha và giảm gánh nặng tâm lý – xã hội cho bệnh nhân và gia đình.
TS.BS.CK2. Trà Anh Duy
Trung tâm Sức khỏe Nam giới Men’s Health
0902 353 353
Giờ làm việc: 08:00 - 20:00
7B/31 Thành Thái, Phường Diên Hồng, TP. HCM

